当糖尿病患者的“脚下血管”被重度钙化牢牢“锁死”,缺血、疼痛、溃疡甚至截肢的风险便如阴影般笼罩——这正是糖尿病下肢动脉病变患者的常见困境。糖尿病下肢动脉病变是糖尿病外周血管并发症的严重表现,也是导致糖尿病足溃疡、截肢的核心诱因。研究发现,高达74%的截肢患者合并糖尿病;糖尿病足患者截肢术后5年死亡率高达40%。
腔内介入技术凭借其微创、住院时间短、恢复快等优势已成为糖尿病下肢动脉病变治疗的主流,但普通球囊难以撑开坚硬钙化斑块,支架植入又因膝下血管细小、活动度大易出现再狭窄,治疗陷入 “两难”。近期我院外科周围血管专业团队成功完成冲击波球囊治疗病例,为这类患者带来了新的希望。
病例回顾——72岁糖友的“脚下危机”
患者老年女性,患2型糖尿病30余年,近4年来反复出现双下肢发凉麻木,行走100米便因剧烈疼痛被迫停下(间歇性跛行),8个月前出现双足趾破溃疼痛,焦虑失眠,严重影响生活质量,经历了多次血管腔内治疗及清创换药后,创面久不愈合。经下肢血管 CTA 检查发现,患者血管重度钙化,膝下胫前动脉起始段管腔重度狭窄,若不及时干预,溃疡可能进一步恶化,甚至面临截肢风险。
冲击波球囊 “精准破钙”
考虑到患者血管钙化程度重、膝下血管管径细(约2.5mm),传统治疗效果有限,外科团队决定采用冲击波球囊介入治疗。手术中,医生通过微创方式将直径匹配的冲击波球囊送至钙化病变处,球囊膨胀后释放低频、低能量冲击波——这种冲击波能精准作用于坚硬的钙化斑块,将其 “击碎” 却不损伤血管壁。
术中造影显示,原本狭窄的血管管腔瞬间恢复通畅,血流即刻灌注至足趾末端,狭窄率降至 10% 以下,且无需植入支架,最大程度保留了血管自身结构。
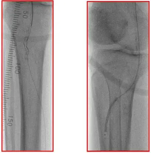
术前造影
造影示血管重度钙化影,右股浅、腘动脉多发节段性重度狭窄,膝下胫前动脉起始段重度狭窄,胫腓干、腓、胫后动脉全程闭塞,右足背动脉显影浅淡、足底内外侧动脉脉未见主干显影。
导丝通过,冲击波球囊扩张
术后造影
本例患者为严重下肢动脉缺血,术中导丝顺利真腔通过闭塞段血管,应普通球囊成形效果欠佳,使用外周血管内冲击波球囊扩张后得到满意的管腔获得。后续应用药物涂层球囊治疗,以获得良好的远期通畅率。患者术后右足破溃疼痛明显减轻,双下肢皮温回暖。
手术进行中
血管钙化是动脉粥样硬化、糖尿病、慢性肾脏病等多种疾病的共同病理特征。在糖尿病患者中,膝下动脉钙化发生率达60.2%。钙化易导致术中管腔获得欠佳,发生弹性回缩或夹层,影响手术疗效和远期预后,增加了截肢率和全因死亡率。血管内冲击波技术(IVL)目前是唯一一款通过最小化内膜损伤同时影响内膜与中膜钙化以实现最大化管腔获得的技术,通过球囊内电极释放高频声压力波(50 atm 瞬时压力),精准碎裂血管壁钙化斑块,同时保留血管内膜完整性,减少夹层与弹性回缩的发生,降低补救性支架植入率。
冲击波球囊是近年发展的新技术,在外周动脉钙化病变中的应用崭露头角,其展现出的安全、简便、高效等特点,作为治疗外周动脉钙化病变的创新器械,弥补了现有下肢动脉处理技术的不足,尤其在糖尿病足血运重建治疗中,为医生与患者提供更好的选择。
中国中医科学院广安门医院
外科周围血管病专业组
广安门医院外科周围血管病专业组是由一批资深专家领衔、中青年骨干医生组成的精英团队,具有卓越的专业能力和丰富的临床经验,在下肢缺血性病变的微创介入开通上具有独特优势,大大提高了患者保肢率。耿树军主任医师,从事周围血管病专业30余年,跟随“京华段氏外科”传人、全国名老中医赵永昌先生和全国著名血管外科专家裴玉崑主任学习,师从中医周围血管病专家陈淑长教授,擅长利用中医药(内服、外治)方法和现代血管腔内(介入)治疗技术治疗各种周围血管疾病,在改善肢体供血、促进创面愈合、减少高位截肢方面有着丰富的临床经验。马鲁波主任医师,拥有超过20年的周围血管病诊疗经验,在血管介入治疗,特别是膝下动脉及足部动脉血管开通领域具有深厚的技术积累和丰富经验,首次在我院开展定向斑块旋切、机械血栓清除、血管内冲击波治疗等先进技术。
科室配备有先进的医疗设备和紧跟国际前沿的创新技术,可以早期诊断,优化治疗;降低截肢率,减少支架置入,中西医结合提高疗效。诊疗范围包括:动脉疾病(糖尿病足、下肢动脉粥样硬化闭塞症、急性动脉栓塞、腹主动脉瘤等)、静脉疾病(静脉曲张、下肢深静脉血栓、血栓后综合征、布加综合征等)、血管畸形(动静脉瘘、血管瘤等)。
广安门医院外科科设立了周围血管病专题门诊,为患者尤其是早期诊断不明确,围手术期管理、术后康复,药物副作用明显的患者提供包括中药、西药、针灸等综合的个体化治疗方案。本着“广安广博至精至诚“的精神,致力于为广大患者提供最优质的医疗服务,守护每一位患者的血管健康。











京公网安备 11040202430161号
